
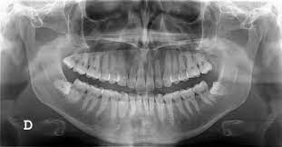
Presence of Caries that may involve or threaten to involve the Pulp Number, course, shape and length of root canals Calcification or obliteration of pulp cavity Internal and External Resorption Thickening of Periodontal Ligament Nature and extend of Periapical and Alveolar Bone Destruction