MEDizzy
MEDizzy
Zunaira saleh
Zunaira salehalmost 2 years ago
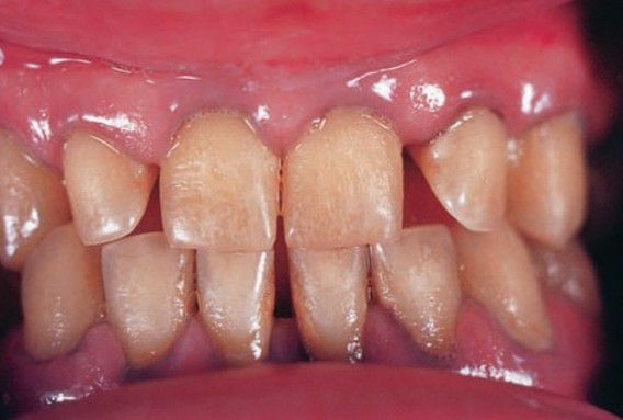
Lead pigmentation of gingival margins

Lead pigmentation of gingival margins

Some heavy metals (arsenic, bismuth, platinum, lead, and mercury) may be responsible for oral pigmentation. This phenomenon occurs predominantly after occupational exposure to vapors of these metals.

0
Other commentsSign in to post comments. You don't have an account? Sign up now!

Recent MCQs















Show more MCQs

Recent flashcard sets















Show more flashcards