MEDizzy
MEDizzy
Zunaira saleh
Zunaira salehalmost 2 years ago
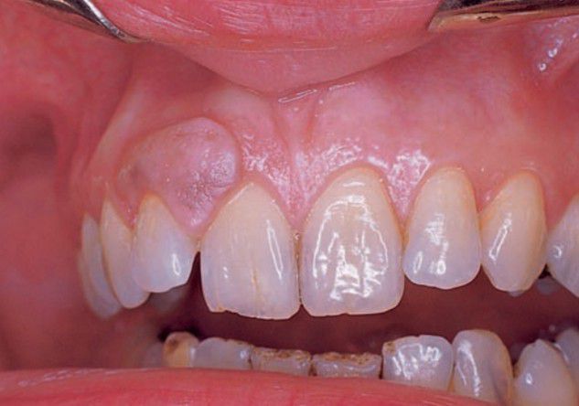
Peripheral giant cell granuloma

Peripheral giant cell granuloma

Peripheral giant cell granulomas are seen exclusively in gingiva, usually between the first permanent molars and the incisors.

0
Other commentsSign in to post comments. You don't have an account? Sign up now!

Recent MCQs















Show more MCQs

Recent flashcard sets















Show more flashcards