MEDizzy
MEDizzy
Zunaira saleh
Zunaira salehalmost 2 years ago
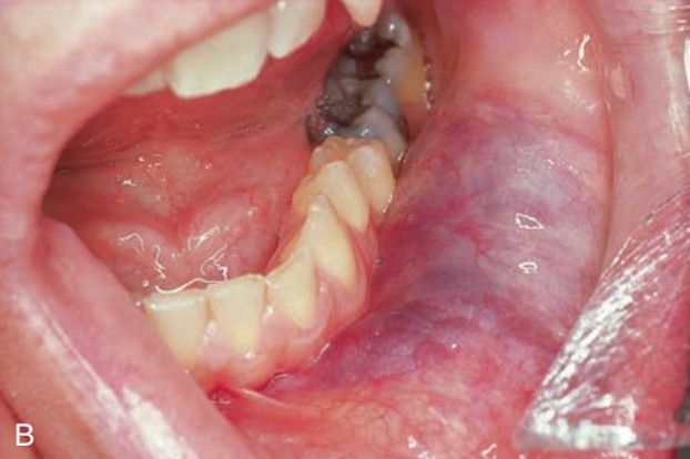
Vascular malformation

Vascular malformation

Congenital vascular malformations are generally persistent lesions that grow with the individual and do not involute. They may represent arteriovenous shunts and exhibit a bruit or thrill on auscultation.

0
Other commentsSign in to post comments. You don't have an account? Sign up now!

Recent MCQs















Show more MCQs

Recent flashcard sets















Show more flashcards