MEDizzy
MEDizzy
Zunaira saleh
Zunaira salehalmost 2 years ago
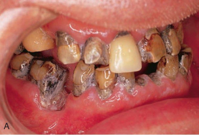
Radiation cervical caries

Radiation cervical caries

This postradiation effect happens since xerostomia is already an established side effect. Add poor oral hygiene to it , radiation caries becomes a prominent side effect.

0
Other commentsSign in to post comments. You don't have an account? Sign up now!

Recent MCQs















Show more MCQs

Recent flashcard sets















Show more flashcards