Feed
Library
Learning
Discuss
Leaderboard
Journal
Sign in
Login
Sign up
Sign in
Feed
Library
Learning
Discuss
Leaderboard
Journal
Zunaira saleh
almost 2 years ago
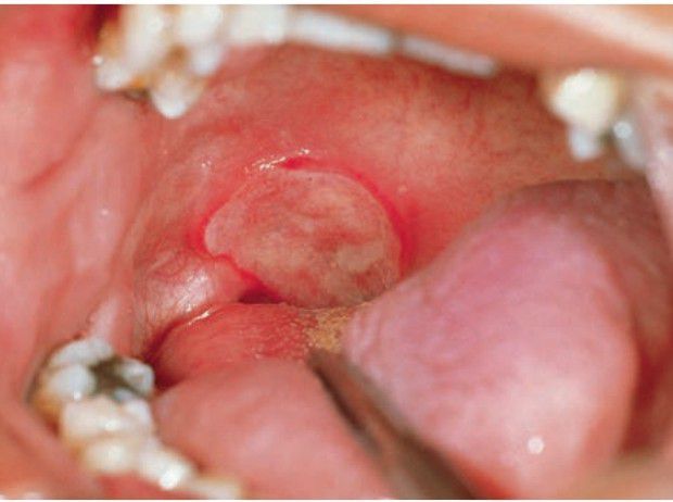
Major aphthous ulcers
Diagnosis of aphthous ulcers is generally based on the history and clinical appearance
Medlife
Oralpathology
Ulcer
0
0
0
Other comments
Sign in
to post comments. You don't have an account?
Sign up now!
Related posts
Excisional biopsy of a tongue ulcer.
History of present complaint
Deceptive normal variant
Deceptive normal variant
Diagnosis?
Acute necrotising ulcerative gingivitis
Traumatic ulcer
Major aphthous ulcer
Herpetiform aphthous ulcer
Recent MCQs
Show more MCQs
Recent flashcard sets
Show more flashcards
Feed
Learn
Add
Search
Discuss