
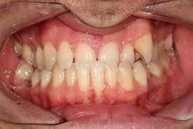
A reverse overjet or underbite is where the lower front teeth sit on the outside of the upper front teeth which is typically due to an underlying jaw position issue where the lower jaw sits too far forward in comparison to the upper jaw or the maxilla is too far back.