MEDizzy
MEDizzy
Zunaira saleh
Zunaira salehalmost 2 years ago
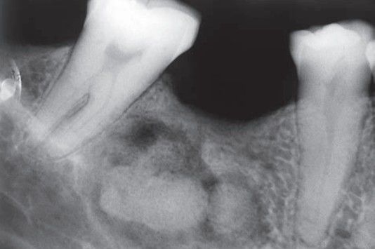
Focal sclerosing osteitis

Focal sclerosing osteitis

Usually asymptomatic but may be painful; most cases related to chronic inflammation in bone of dental origin.

0
Other commentsSign in to post comments. You don't have an account? Sign up now!

Recent MCQs















Show more MCQs

Recent flashcard sets















Show more flashcards