MEDizzy
MEDizzy
Zunaira saleh
Zunaira salehalmost 2 years ago
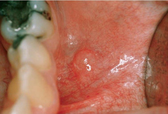
Mucocele

Mucocele

Bluish nodule (normal color if deep) usually covered by epithelium; may be slightly painful and have associated acute inflammatory reaction.

0
Other commentsSign in to post comments. You don't have an account? Sign up now!

Recent MCQs















Show more MCQs

Recent flashcard sets















Show more flashcards