MEDizzy
MEDizzy
Zunaira saleh
Zunaira salehalmost 2 years ago
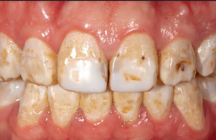
Dental fluorosis

Dental fluorosis

Fluorosis is a condition that results in white or brown speckles on your teeth. It's caused by overexposure to fluoride in the early years of life, when your permanent teeth are developing

1
Other commentsSign in to post comments. You don't have an account? Sign up now!

Recent MCQs















Show more MCQs

Recent flashcard sets















Show more flashcards