MEDizzy
MEDizzy
Zunaira saleh
Zunaira salehalmost 2 years ago
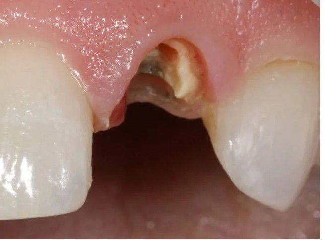
Broken down root

Broken down root

A fractured root is a break in the hard outer layer of a tooth that extends into the root. This can be a serious condition, as it can lead to pain, infection, and tooth loss. 

0
Other commentsSign in to post comments. You don't have an account? Sign up now!

Recent MCQs















Show more MCQs

Recent flashcard sets















Show more flashcards