
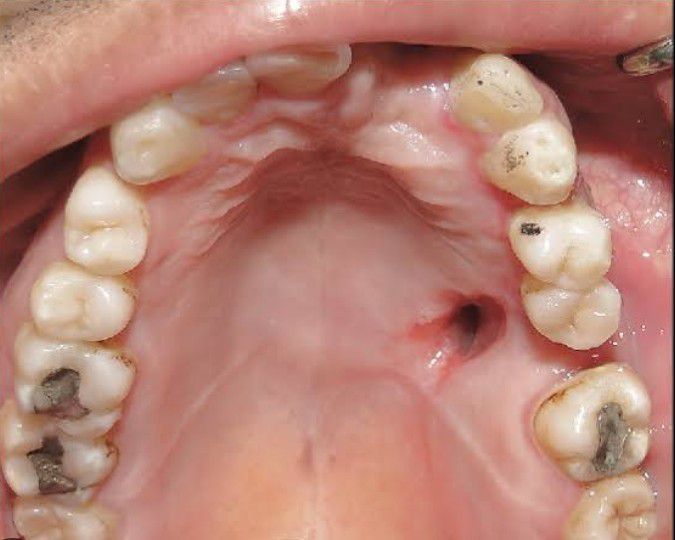
An oro-antral fistula (OAF) is an epithelialized pathological unnatural communication between oral cavity and maxillary sinus. It develops when the oro-antral communication fails to close spontaneously, remains patent and gets epithelialized.There is migration of oral epithelium into the defect.