MEDizzy
MEDizzy
Zunaira saleh
Zunaira salehalmost 2 years ago
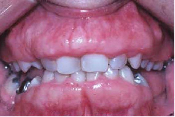
Hereditary Gingival Fibromatosis

Hereditary Gingival Fibromatosis

Hereditary Gingival Fibromatosis in a 37 year-old white mother. The enlarged gingiva is firm and appears normal in color and texture. The patient underwent two surgical interventions as a teenager with poor long-term results.

0
Other commentsSign in to post comments. You don't have an account? Sign up now!

Recent MCQs















Show more MCQs

Recent flashcard sets















Show more flashcards