MEDizzy
MEDizzy
Sheeza Basharat
Sheeza Basharatalmost 2 years ago
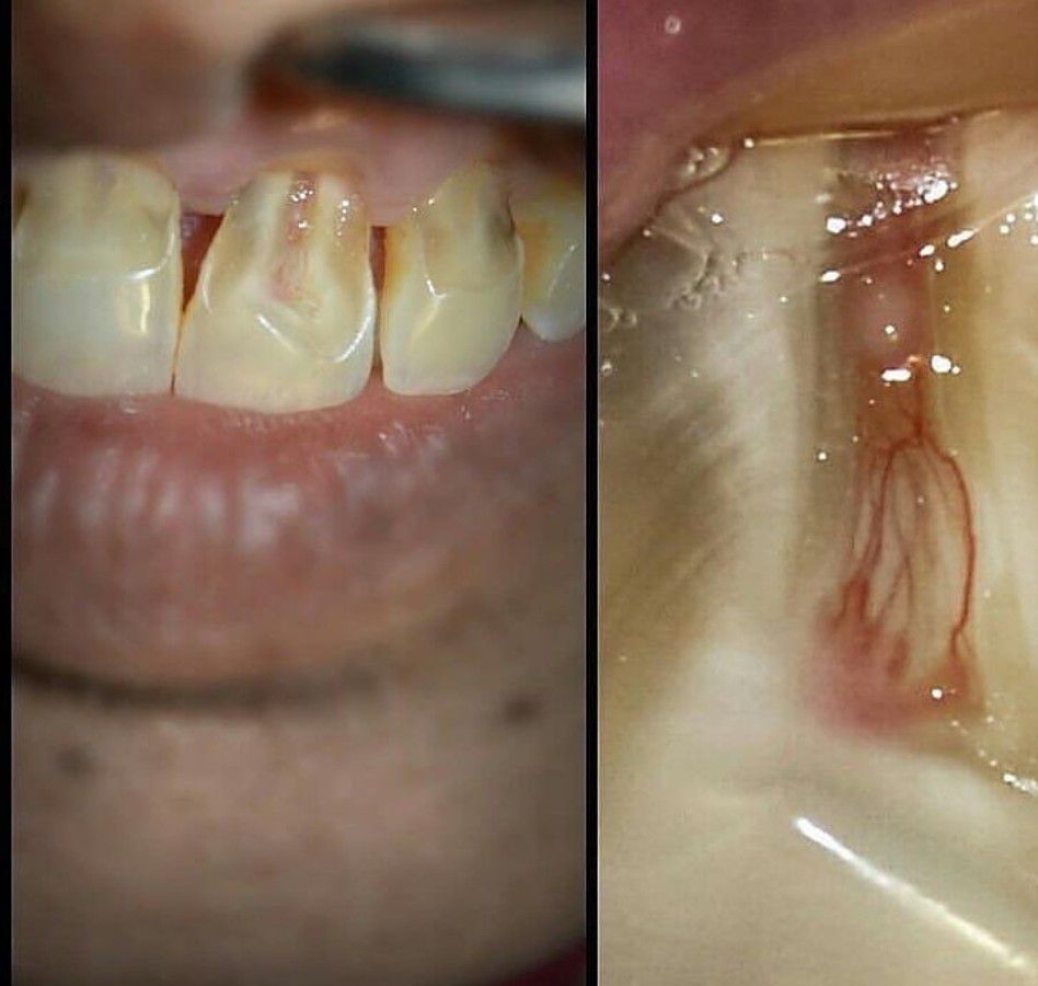
Visible Pulp Vasculature

Visible Pulp Vasculature

Pulp vasculature visible through an intact transparent (sclerotic) dentin.. natural defensive mechanism of pulp .

0
Other commentsSign in to post comments. You don't have an account? Sign up now!

Recent MCQs















Show more MCQs

Recent flashcard sets















Show more flashcards