
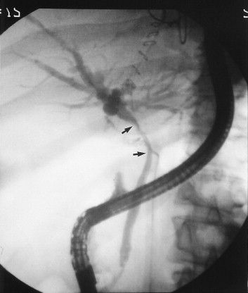
syndrome consists of a triad; cystic duct gall-stone (or gall-stone in the Hartmann's pouch), chronic cholecystitis with shrunken gall-bladder, and benign stenosis of the common hepatic of common bile duct [1]. The reported incidence of this syndrome is 1% of all cholecystectomies [