MEDizzy
MEDizzy
Iqra
Iqraalmost 2 years ago
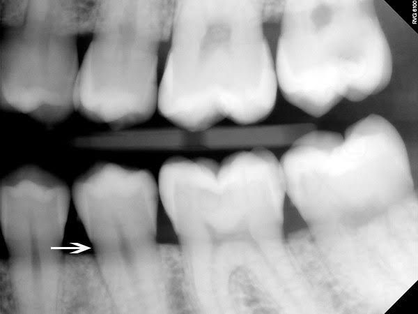
Cervical burnout

Cervical burnout

Cervical burnout appears as a radiolucent band around the necks of teeth and is more pronounced at the proximal edges. The X-ray photons overpenetrate or burn out the thinner tooth edge and create the radiolucent area that mimics cervical caries

0
Other commentsSign in to post comments. You don't have an account? Sign up now!

Recent MCQs















Show more MCQs

Recent flashcard sets















Show more flashcards