
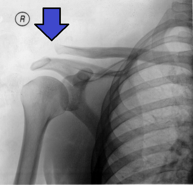
Treatment for Shoulder Separation Treatment of AC separation depends on the severity of the injury. Shoulder injuries Grades I and II usually do not require surgery, while a Grade III injury can require surgical repair if the injury does not heal properly with other treatments. Shoulder separation treatment typically involves: Patient with sling for Shoulder Separation (AC Separation)Managing pain Supporting the shoulder Reestablishing strength and range of motion (physical therapy) Pain management usually includes: Ice or cold packs: Helps with swelling, reducing pain. Sling: Immobilizing the arm for a few days keeps the pain level down. Use of non-steroidal anti-inflammatory drugs (NSAIDs): Medications such as aspirin and ibuprofen.