
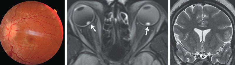
A 25-year-old woman with severe obesity presented to the emergency department with a 1-week history of blurred vision, headaches, and transient visual obscurations. Neurologic examination showed optic disk swelling and retinal hemorrhages in both eyes. An MRI and MRV of the head showed flattened posterior globes, an empty sella, and stenoses of the transverse sinuses without obstruction or thromboses. Which abnormality would most likely be notable from a lumbar puncture? Options A.Elevated opening pressure B.Elevated white blood cell count C.Oligoclonal bands D.Positive anti-aquaporin 4 antibody E.Xanthochromia
RECOVERY LOST BITCOIN FROM TRADING PLATFORM CONTACT: GEO COORDINATES RECOVERY HACKER I would love to extend my gratitude and utmost appreciation to Geo Coordinates Hacker for helping me recover my money back. They helped me recover my stolen money, 634,000 dollars worth of bitcoin effortlessly. Their service is not only quick but professional and reliable. As someone who was skeptical about the process, I was pleasantly surprised to see my bitcoins returned in such a swift and hassle-free manner. Geo Coordinates Hacker truly goes above and beyond to ensure their clients' satisfaction. I would highly recommend Geo Coordinates Hacker for all your cryptocurrency recovery, digital funds recovery, hacking, and cybersecurity-related issues. Without a doubt, they are the best and I am very grateful to them for helping me recover my money. In case you have the same issues related to mine do not hesitate to reach out to them through their email Contact; Email: geovcoordinateshacker@gmail.com Website; https://geovcoordinateshac.wixsite.com/geo-coordinates-hack
RECOVERY LOST BITCOIN FROM TRADING PLATFORM CONTACT: GEO COORDINATES RECOVERY HACKER I would love to extend my gratitude and utmost appreciation to Geo Coordinates Hacker for helping me recover my money back. They helped me recover my stolen money, 634,000 dollars worth of bitcoin effortlessly. Their service is not only quick but professional and reliable. As someone who was skeptical about the process, I was pleasantly surprised to see my bitcoins returned in such a swift and hassle-free manner. Geo Coordinates Hacker truly goes above and beyond to ensure their clients' satisfaction. I would highly recommend Geo Coordinates Hacker for all your cryptocurrency recovery, digital funds recovery, hacking, and cybersecurity-related issues. Without a doubt, they are the best and I am very grateful to them for helping me recover my money. In case you have the same issues related to mine do not hesitate to reach out to them through their email Contact; Email: geovcoordinateshacker@gmail.com Website; https://geovcoordinateshac.wixsite.com/geo-coordinates-hack