
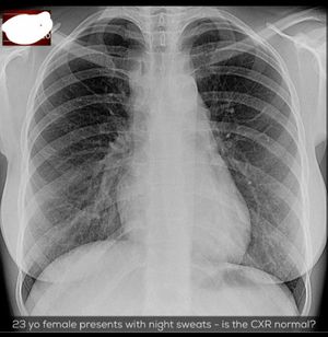
Now Xray First of all AP window this window is between aortic arch and pulmonary trunk so normally it is conacave bt see here its concavity is lost so we can say there may be some mass or lymphnodes enlargement now see here extra medistinal contour it is little bit up to the ap window and there is anything also increased paratracheal density which is not that much important but in this case it s important this paratracheal density indicate some problem to paratracheal lymph nodes.... So at this point according to all the findings its not obviously tb or metastatic tumor and it s also not sarcoidosis bcs bilateral hilar symmetrical lymphadenopathy is not seen so the most probable diagnosis should be lymphoma..... So now for further diagnosis we have to take biopsy from lymph nodes now here radiology plays a big part in selecting the right place to take sample So after diagnosis we find it is hodking s lymphoma.... But by xray we can diagnose till lymphoma for hodking s lymphoma we have to take biopsy...