
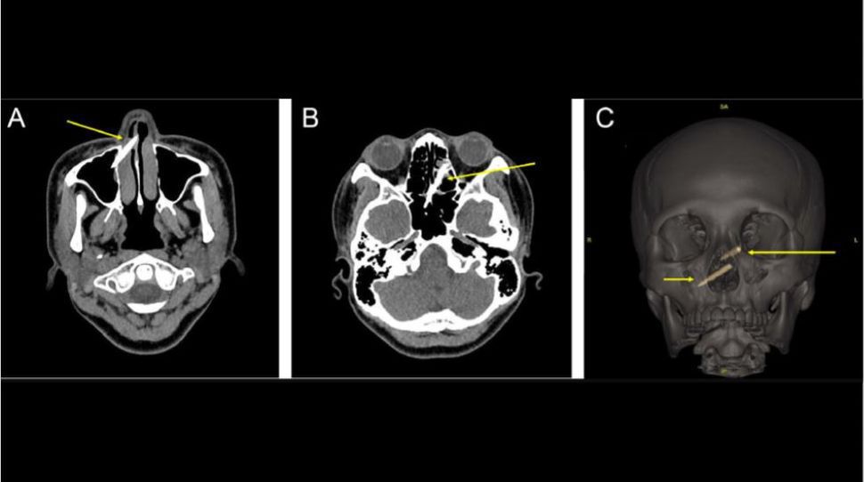
A woman in Taiwan had chopstick fragments embedded in her sinuses for a week without knowing it, after she had a violent fight with her sister. The 29-year-old woman went to the hospital after she was "attacked by her sister with plastic-wood chopsticks while at the dinner table," according to a report of the case, published June 24 in The Journal of Emergency Medicine. Doctors saw that she had two small cuts under her eye and on her nose, but an X-ray did not show anything unusual. However, one week later, the woman began to suspect that her injury was more serious than it appeared, Live Science previously reported. When she looked in the mirror, she thought she could see a gray object in her nose. Indeed, a second examination revealed pieces of chopstick that were penetrating her nasal septum, or the wall dividing the two nasal passages. A CT scan showed two chopstick pieces in her sinuses, with one embedded more deeply than the other. The woman needed surgery to remove the fragments, which were about 1.4 inches (3.5 cm) and 2 inches (5 cm) long, respectively, according to the report. She experienced no surgical complications.