Feed
Library
Learning
Discuss
Leaderboard
Journal
Sign in
Login
Sign up
Sign in
Feed
Library
Learning
Discuss
Leaderboard
Journal
Dr Usman
almost 2 years ago
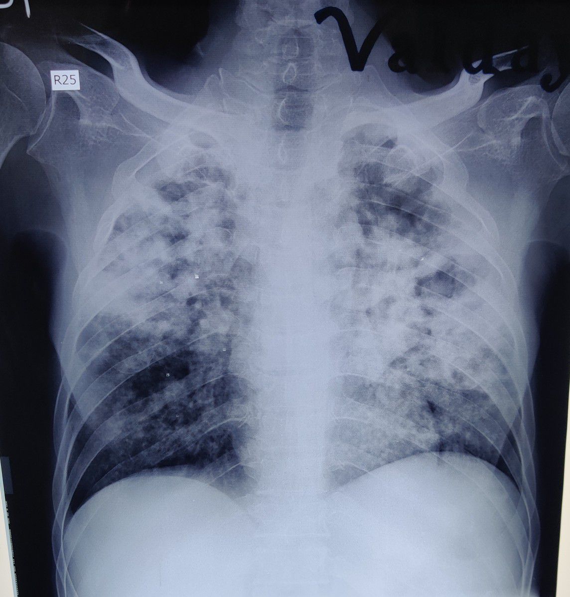
What is the diagnosis?
Er
Covid
Cap
0
0
0
Other comments
Sign in
to post comments. You don't have an account?
Sign up now!
Related posts
Traumatic laceration of left arm
Atypical Pneumonia
Emergency Codes
Gross Hematuria after renal trauma
Compression Ischemic Injury of Hand
Abrasion due to RTA
Complications of Covid-19
Covid-19
Symptoms of Covid-19
Covid-19 Risk factors
Recent MCQs
Show more MCQs
Recent flashcard sets
Show more flashcards
Feed
Learn
Add
Search
Discuss