MEDizzy
MEDizzy
Kareem
Kareemabout 7 years ago
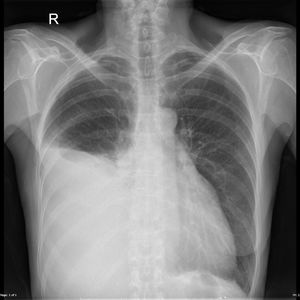
What’s your diagnosis?

What’s your diagnosis?

3
Top rated comment
about 7 years ago

It s pleural effusion which means collection of fluid with in pleural space...

Other commentsSign in to post comments. You don't have an account? Sign up now!
about 7 years ago

Could it be atelectasis of the middle and lower lobe.. because i cant find any meniscus for it to be effusion

Recent MCQs















Show more MCQs

Recent flashcard sets















Show more flashcards