Feed
Library
Learning
Discuss
Leaderboard
Journal
Sign in
Login
Sign up
Sign in
Feed
Library
Learning
Discuss
Leaderboard
Journal
Sheeza Basharat
over 2 years ago
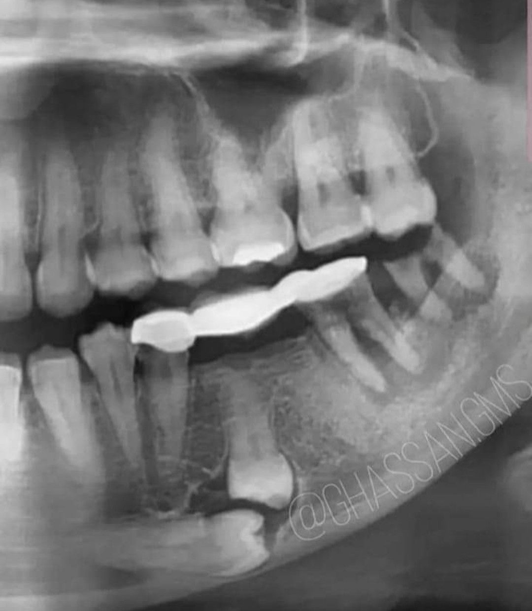
Anesthesia for Extraction
Should these teeth be extracted under GA or LA?
Dentistry
Casestudy
Oralmaxillofacialsurgery
Dentalsurgery
0
0
0
Other comments
Sign in
to post comments. You don't have an account?
Sign up now!
Related posts
Angular Defects
Probing and Charting
Space maintainer
Mandibular Tori
Amalgam vs composite filling
Complications of xerostomia
Dental Bridges
https://www.facebook.com/HumeHealthBodyPodOfficial/
https://www.facebook.com/BiomaProbioticsPage/
Ozalyn
Recent MCQs
Show more MCQs
Recent flashcard sets
Show more flashcards
Feed
Learn
Add
Search
Discuss