
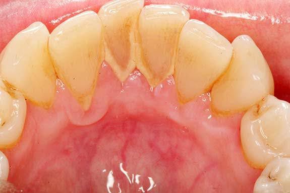
If you don’t brush and floss daily, plaque can harden into tartar. Only a dental professional can remove tartar. Extreme dental plaque and tartar can lead to: Cavities. Gingivitis and other forms of gum disease. Tooth infection (abscessed tooth). Tooth loss.