
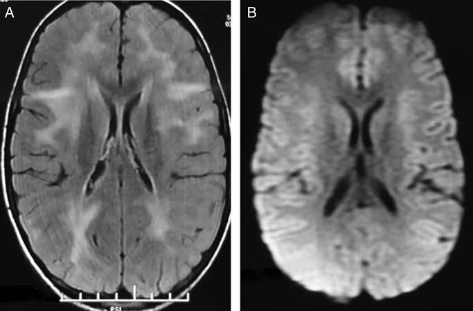
Subacute sclerosing panencephalitis (SSPE) is a progressive neurological disorder of children and young adults that affects the central nervous system (CNS). It is a slow and persistent viral infection related to measles.Most children with SSPE have a history of measles infection at an early age, usually younger than age 2, followed by a latent period of six to eight years before neurological symptoms begin. The initial symptoms of SSPE are subtle and include the following: Mild cognitive decline (such as memory loss) Changes in behavior (such as irritability) Disturbances in motor function, including uncontrollable jerking movements of the head, trunk or limbs called myoclonic jerks Seizures may occur Some people may go blind Good nursing care is the most important aspect of treatment for SSPE, along with anticonvulsant and antispasmodic drugs when needed.