
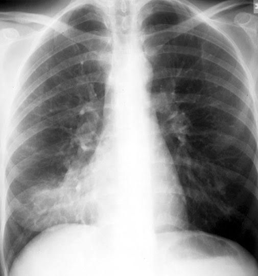
Typical Bacterial Pneumonia, also known as lobar pneumonia, is a type of community acquired pneumonia caused by Streptococcus Pneumoniae (most common), Staphylococcus aureus, Hemophilus influenza and Klebsiella. In children most of bacterial pneumonia is caused by pneumococcus. Symptoms are sudden in onset, productive cough, dyspnea and chest tightness. On examination there is bronchial breathing, a dull percussion note, increased vocal fermitus and egophony. On chest x-ray there are consolidations in one lobe.