
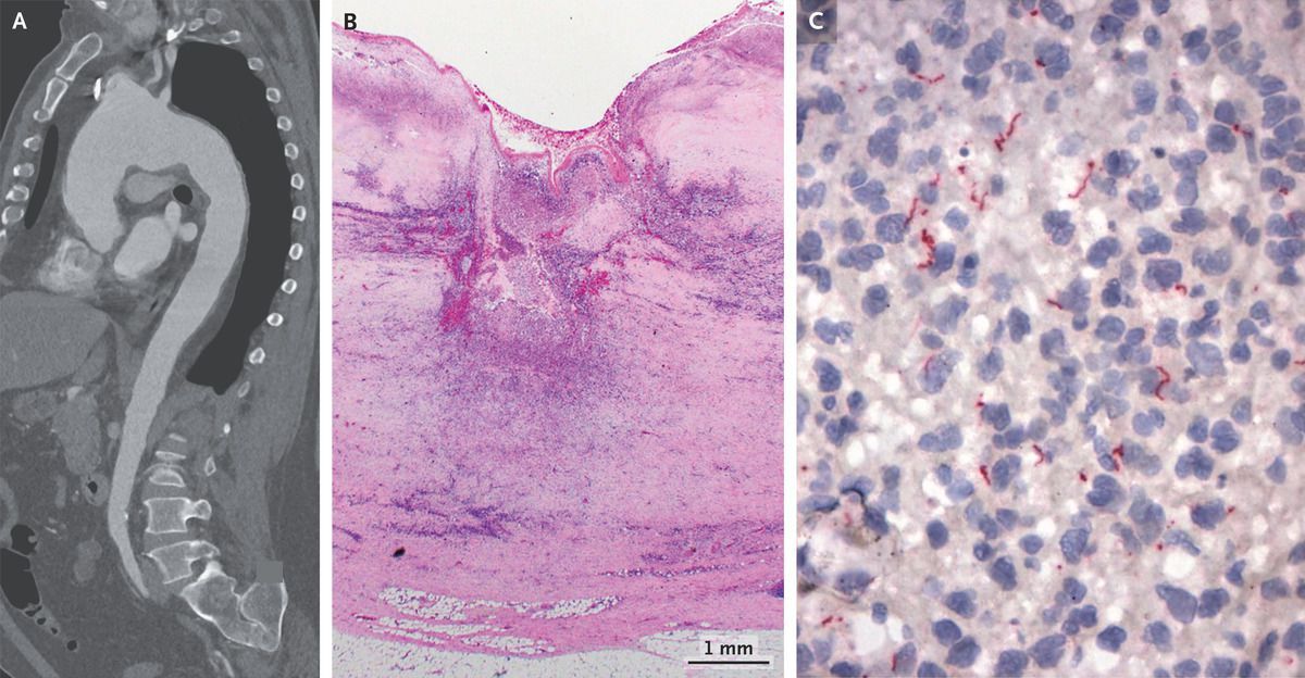
A 61-year-old man presented to the emergency department with a 2-day history of left upper back pain. Vital signs and findings on physical examination were normal. Computed tomography (CT) of the cervical and thoracic spine revealed degenerative spinal disease and a partially visualized aneurysmal dilatation of the aortic arch and descending thoracic aorta. CT angiography subsequently revealed aneurysmal dilatation of the ascending aorta to 4.7 cm in diameter, of the aortic arch to 5.5 cm in diameter, and of the descending thoracic aorta to 3.8 cm in diameter (Panel A), but neither aortic dissection nor rupture was observed. Owing to concern about the high risk of rupture due to the size of the aortic aneurysm and that its rapid expansion was causing the patient’s back pain, the aneurysm was surgically repaired with a graft. Pathological examination showed necrotizing aortitis with transmural neutrophilic and lymphoplasmacytic infiltrates (Panel B). Immunohistochemical analysis revealed the presence of spirochetes (Panel C). The rapid plasma reagin titer was elevated at 1:8, and a fluorescent treponemal-antibody absorption test was reactive. A test for the human immunodeficiency virus was negative. A diagnosis of syphilitic aortitis was made, and treatment with intramuscular penicillin G was initiated. On postoperative day 8, the patient was discharged home, where he completed the course of antimicrobial therapy.