MEDizzy
MEDizzy
Pegasus MD
Pegasus MDabout 7 years ago
Sunday morning exercise

Sunday morning exercise

Abdomen

20
Top rated comment

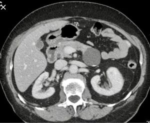
If it isn't pancreatic cyst then idk but definitely not hydronephrosis. Anyone thinking hydroneph should prolly quit medicine

Other commentsSign in to post comments. You don't have an account? Sign up now!
about 7 years ago

?? Pancreatic cyst

about 7 years ago

??

about 7 years ago

Is the spleen supposed to be there?

about 7 years ago

pancreatic tail cyst

about 7 years ago

Yeah it s obvious it s a silly mistake 😅😅

about 7 years ago

If the bone is white (hyperdensity) then its a CT, not MRI :)

about 7 years ago

Hydronephrose R

about 7 years ago

Pancreatic cyst

Pancreatic cyst.

about 7 years ago

It’s pancreatic tail cyst guys, thanks for your patience

Recent MCQs















Show more MCQs

Recent flashcard sets















Show more flashcards