
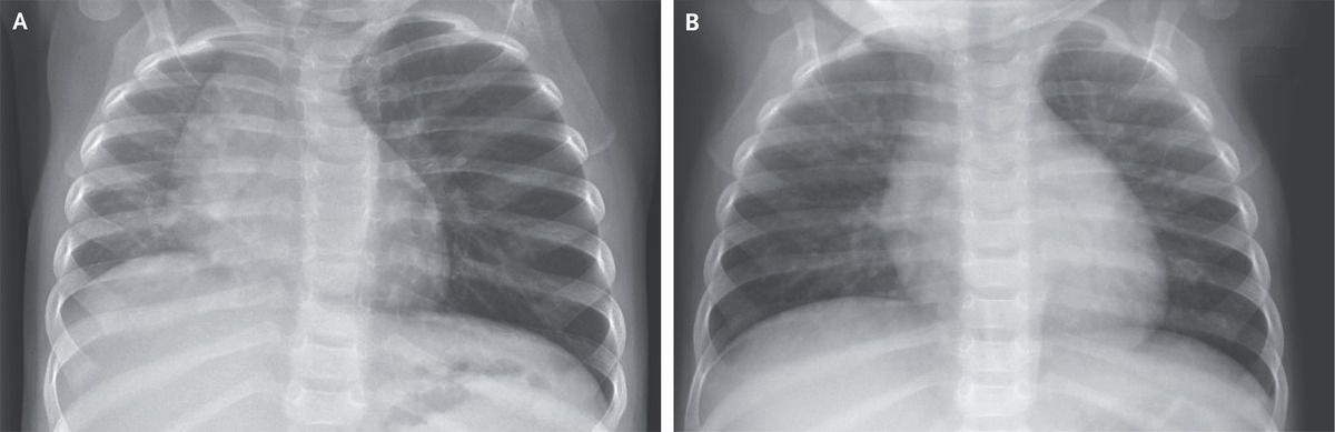
A healthy 12-month-old girl was brought to the emergency department with a 4-hour history of coughing and stridor. Four hours earlier, she had choked while eating. Her respiratory rate was 38 breaths per minute, and her oxygen saturation was 98% while she was breathing ambient air. On examination, she appeared well. No cough or stridor was observed. Crackles and wheezing were heard in the right lung, and the left lung was clear. A chest radiograph showed opacification and volume loss in the right lung, rightward shift of the mediastinum, and hyperinflation of the left lung (Panel A). Given the abnormal radiographic appearance of the right lung, there was concern about right-airway obstruction. However, during rigid bronchoscopy, a foreign body was removed from the left mainstem bronchus. Partial airway obstruction in the left mainstem bronchus had resulted in hyperinflation on that side, with passive atelectasis and opacification on the right side. Foreign-body aspiration in children is potentially life-threatening. It is important to note that chest radiographs may appear normal when radiolucent objects are aspirated. High clinical suspicion of foreign-body aspiration should prompt bronchoscopy in order to avoid acute and chronic complications. A repeat chest radiograph in this patient was normal (Panel B), but her course was complicated by pneumonia, which abated with antimicrobial treatment.