MEDizzy
MEDizzy
Pegasus MD
Pegasus MDalmost 7 years ago
Lung Disease

Lung Disease

Pathology

57
Top rated comment
almost 7 years ago

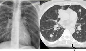
Midiastinal lymphaedenopathy

almost 7 years ago

What is that?

Other commentsSign in to post comments. You don't have an account? Sign up now!
almost 7 years ago

Mediastinal and hilar lymphadenopathy suggestive of Tuberculosis.

almost 7 years ago

Cancer

almost 7 years ago

Pulmonary TB

almost 7 years ago

Sarcoid vs tuberculas

almost 7 years ago

NSCLC

almost 7 years ago

Pulmonary tb with mediastinal lymphadenopathy? There is cavity(tb lesion) in apex of right lung

almost 7 years ago

Pcod

almost 7 years ago

May be lung cancer

almost 7 years ago

Mesothelioma

Recent MCQs















Show more MCQs

Recent flashcard sets















Show more flashcards