
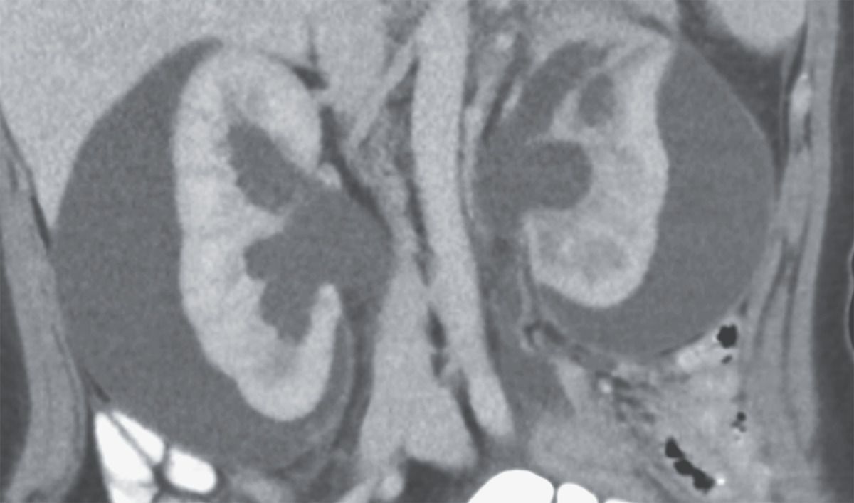
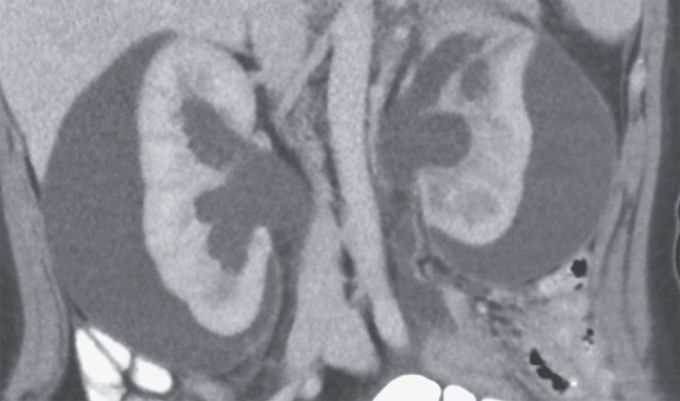
A 21-year-old woman presented to the emergency department with a 6-week history of abdominal pain and constipation. Her blood pressure was 162/108 mm Hg. She had a history of Hirschsprung’s disease and had undergone a partial colectomy and pull-through procedure during infancy. She had no history of hypertension or renal disease and reported no recent flank pain or hematuria. No abdominal or costovertebral-angle tenderness was present on physical examination. The serum creatinine level was 3.6 mg per deciliter (320 μmol per liter; reference range, 0.6 to 1.0 mg per deciliter [50 to 90 μmol per liter]). Computed tomography of the abdomen and pelvis revealed large subcapsular urinomas on both sides and hydronephrosis caused by distal ureteral obstruction from a rectal mass. After percutaneous drainage of the urinomas, the patient’s blood pressure normalized, which confirmed the diagnosis of secondary hypertension due to external compression of the renal parenchyma. This phenomenon, known as Page kidney, occurs when outer pressure on one or both kidneys impedes renal blood flow and results in increased renin secretion. The patient underwent ureteral stenting and biopsy of the rectal mass; histologic testing showed mucinous rectal adenocarcinoma. She was referred to the medical and surgical oncology departments for further treatment.