
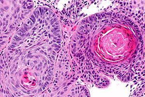
Squamous cell carcinoma: Cancer that forms in the thin, flat cells lining the inside of the esophagus. This cancer is most often found in the upper and middle part of the esophagus, but can occur anywhere along the esophagus. This is also called epidermoid carcinoma.Smoking, heavy alcohol use, and Barrett esophagus can increase the risk of esophageal cancer.Signs and symptoms of esophageal cancer are weight loss and painful or difficult swallowing.