MEDizzy
MEDizzy
Ola Tahan
Ola Tahanabout 7 years ago
Medical quiz

Medical quiz

23
Top rated comment
about 7 years ago

Endometerial

about 7 years ago

Thanks my friend🌸,it's gallbladder .

Other commentsSign in to post comments. You don't have an account? Sign up now!
about 7 years ago

Tongue?

about 7 years ago

Thanks🌸it's gallbladder.good luck my friend

about 7 years ago

Lung??

about 7 years ago

Thanks my friend🌸,but it's gallbladder.

about 7 years ago

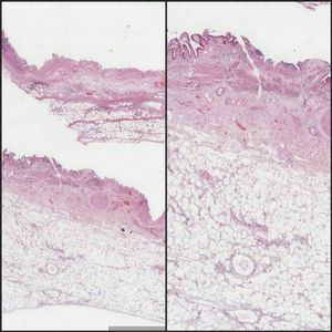
Gallbladder

about 7 years ago

Thanks my friend🌸,you're right👏

about 7 years ago

Parotid gland?

about 7 years ago

It's gallbladder in H&E stain.GOOD luck for everyone 😘🌸🌷🌸😘

about 7 years ago

Lung

about 7 years ago

Thanks my friend🌸,it's gallbladder.

about 7 years ago

Hey..can u explain how it is the gallbladder..

about 7 years ago

The gallbladder tissue consists of several layers,the surface is covered by mucosa ,the epithelial tissue is simple columnar ,and have microvilli

about 6 years ago

Lung

about 6 years ago

Gall bladder😁

Recent MCQs















Show more MCQs

Recent flashcard sets















Show more flashcards