
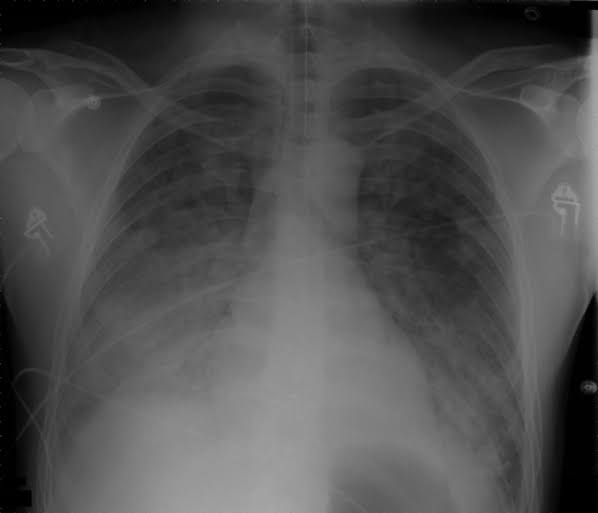
Acute Respiratory Distress Syndrome is a form of non-cardiogenic pulmonary edema due to diffuse alveolar damage. According to Berlin criteria ARDS is defined by timing (within 1 week onset of respiratory symptoms), radiographic changes (bilateral opacities not fully explained by effusion, consolidations, or atelectasis), origin of edema (not fully explained by cardiac failure or fluid overload) and severity based on the PaO2/FiO2 ratio on 5 cm of CAP.