
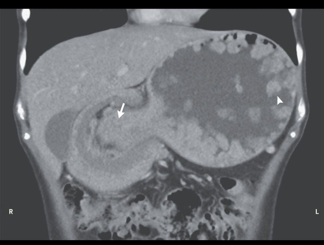
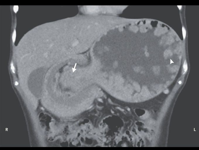
A 26-year-old woman with a known history of the Peutz–Jeghers syndrome presented to the emergency department with a 1-week history of abdominal pain and nonbilious vomiting. The heart rate was 110 beats per minute, and the blood pressure 120/90 mm Hg. On examination, a tender mass was palpable in the upper abdomen. Computed tomography of the abdomen revealed multiple gastric polyps (arrowhead) and gastrogastric intussusception extending into the duodenum (arrow). Gastrogastric intussusception is an uncommon but serious complication of the Peutz–Jeghers syndrome. The patient underwent an emergency laparotomy, which revealed a large, palpable, polypoid mass in the distal stomach. The intussusceptum was found to be necrotic, and a distal gastrectomy was performed. A Billroth I gastroduodenostomy was constructed to preserve bowel length and to allow for future endoscopic access. The patient recovered well after surgery and was discharged 7 days after presentation. She reported feeling well at follow-up 6 weeks later.