MEDizzy
MEDizzy
Iqra
Iqraabout 2 years ago
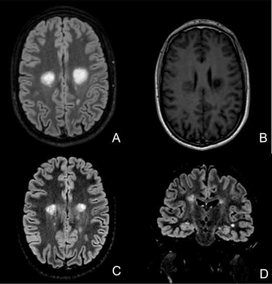
Symptoms of schilder's sclerosis

Symptoms of schilder's sclerosis

Schilder's disease often happens right after an infectious illness. It might start with an overall feeling of discomfort and fever.

0
Other commentsSign in to post comments. You don't have an account? Sign up now!

Recent MCQs















Show more MCQs

Recent flashcard sets















Show more flashcards