MEDizzy
MEDizzy
Iqra
Iqraabout 2 years ago
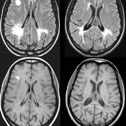
Causes of schilder's sclerosis

Causes of schilder's sclerosis

Doctors aren't sure what causes Schilder's disease. Because it usually starts when kids are so young, researchers think there may be a genetic link.

0
Other commentsSign in to post comments. You don't have an account? Sign up now!

Recent MCQs















Show more MCQs

Recent flashcard sets















Show more flashcards