
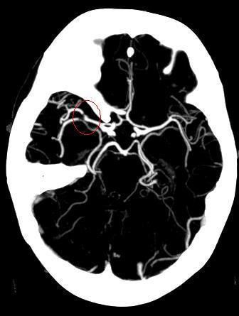
Ischemic stroke is characterized by the sudden loss of blood circulation to an area of the brain, resulting in a corresponding loss of neurologic function. Acute ischemic stroke is caused by thrombotic or embolic occlusion of a cerebral artery and is more common than hemorrhagic stroke.The International Classification of Diseases, 10th Revision, Clinical Modification (ICD-10-CM) code for “cerebral infarction” is I63. It includes occlusion and stenosis of cerebral and precerebral arteries, resulting in cerebral infarction.Consider stroke in any patient presenting with acute neurologic deficit or any alteration in level of consciousness. Common stroke signs and symptoms include the following: Abrupt onset of hemiparesis, monoparesis, or (rarely) quadriparesis Hemisensory deficits Monocular or binocular visual loss Visual field deficits Diplopia Dysarthria Facial droop Ataxia Vertigo (rarely in isolation) Nystagmus Aphasia Sudden decrease in level of consciousness Emergent brain imaging is essential for evaluation of acute ischemic stroke. Non-contrast computed tomography (CT) scanning is the most commonly used form of neuroimaging in the acute evaluation of patients with apparent acute stroke. A lumbar puncture is required to rule out meningitis or subarachnoid hemorrhage when the CT scan is negative but the clinical suspicion remains high.