MEDizzy
MEDizzy
Sheeza Basharat
Sheeza Basharatabout 2 years ago
Definitive Prosthesis

Definitive Prosthesis

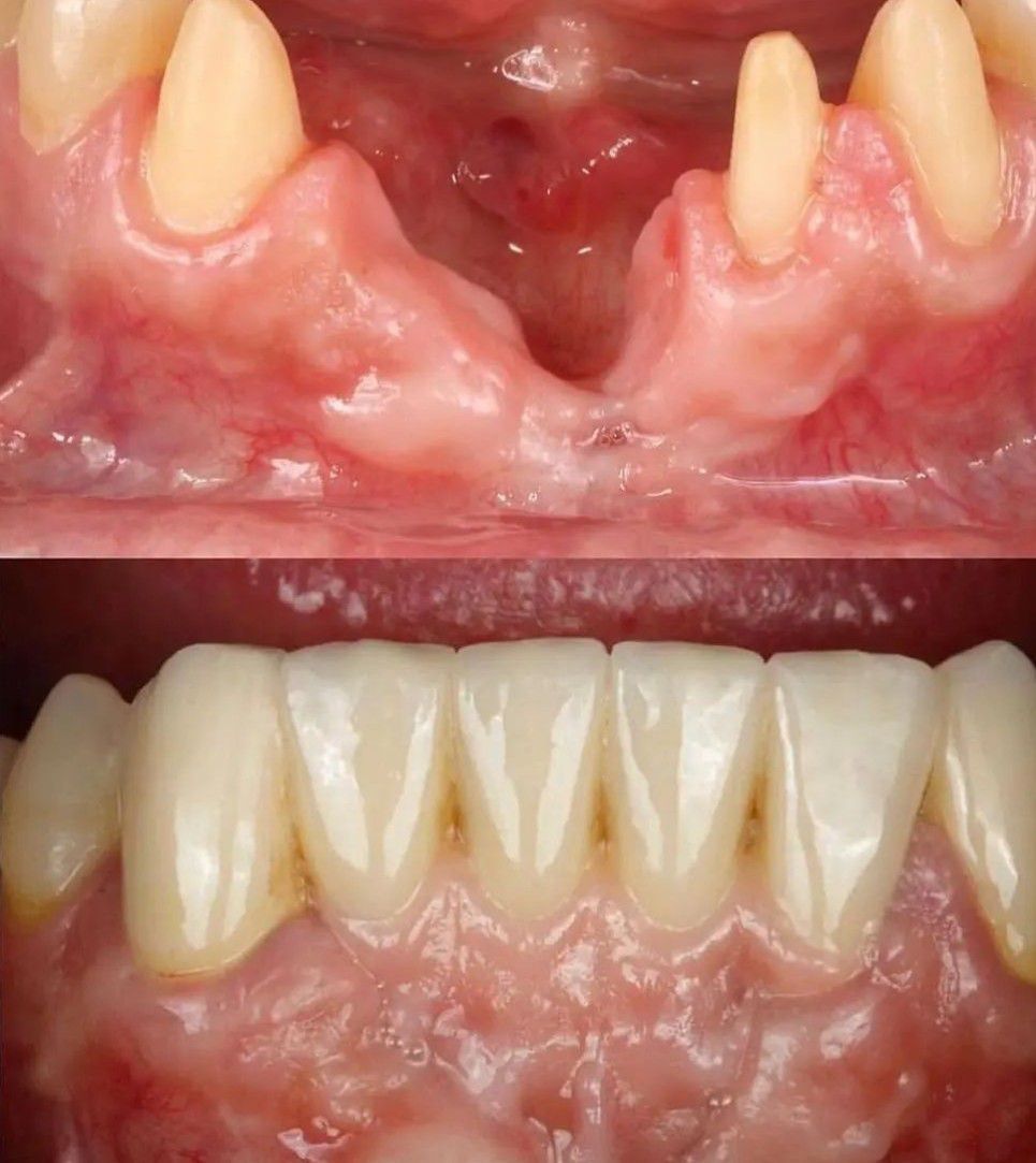
A 56-year-old patient wants a definitive prosthesis... without surgery. In this case, we extract the implant and make a metal-ceramic bridge with pink ceramic.

1
Top rated comment
about 2 years ago

Wow. Amazing work!

Other commentsSign in to post comments. You don't have an account? Sign up now!

Recent MCQs















Show more MCQs

Recent flashcard sets















Show more flashcards