
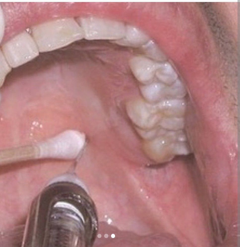
The greater palatine nerve block is useful when treatment is necessary on the palatal aspect of the maxillary premolar and molar dentition. 💉 A 25- or 27-gauge long needle ➕ Better to apply pressure for a minute before the insertion. 📍 The greater palatine nerve block is 1 cm medial to the junction of the maxillary second and third molars. .