MEDizzy
MEDizzy
Hanin Kaa
Hanin Kaaabout 7 years ago
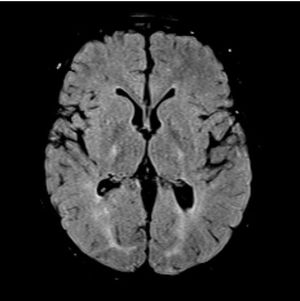
18q syndrome is a rare chromosomal anomaly where there is a deletion of part of the long arm of chromosome 18. Associated symptoms and findings vary widely, as does their severity. Characteristic features include short stature, mental retardation and hypotonia, facial and distal skeletal abnormalities.  Chromosome 18q syndrome appears to result from a spontaneous, sporadic chromosomal error during very early embryonic development.

18q syndrome is a rare chromosomal anomaly where there is a deletion of part of the long arm of chromosome 18. Associated symptoms and findings vary widely, as does their severity. Characteristic features include short stature, mental retardation and hypotonia, facial and distal skeletal abnormalities. Chromosome 18q syndrome appears to result from a spontaneous, sporadic chromosomal error during very early embryonic development.

4
Other commentsSign in to post comments. You don't have an account? Sign up now!

Recent MCQs















Show more MCQs

Recent flashcard sets















Show more flashcards