
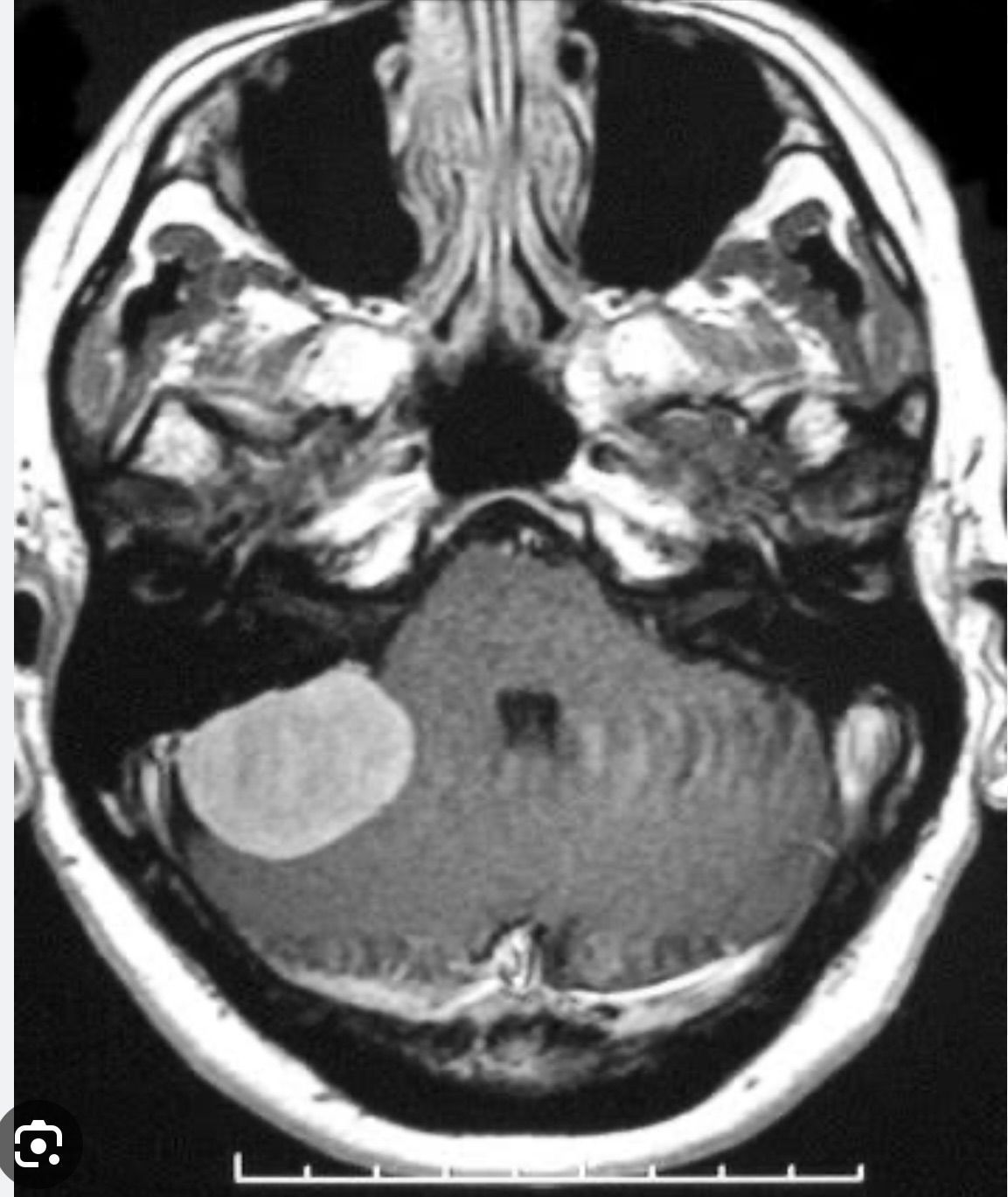
CPA tumors are mostly benign, slow-growing tumors with low potential for malignancy (~1%).The etiology of vestibular schwannoma remains unknown. However, there are two major types; Sporadic: These are unilateral tumors and most commonly present between the fourth and sixth decade of life. Those associated with neurofibromatosis (NF) type 2: The most common presentation is bilateral acoustic neuromas in younger patients with a positive family history. NF2 results from a mutation at the chromosome 22q12. This mutation leads to an increased risk of other intracranial tumors as well.