
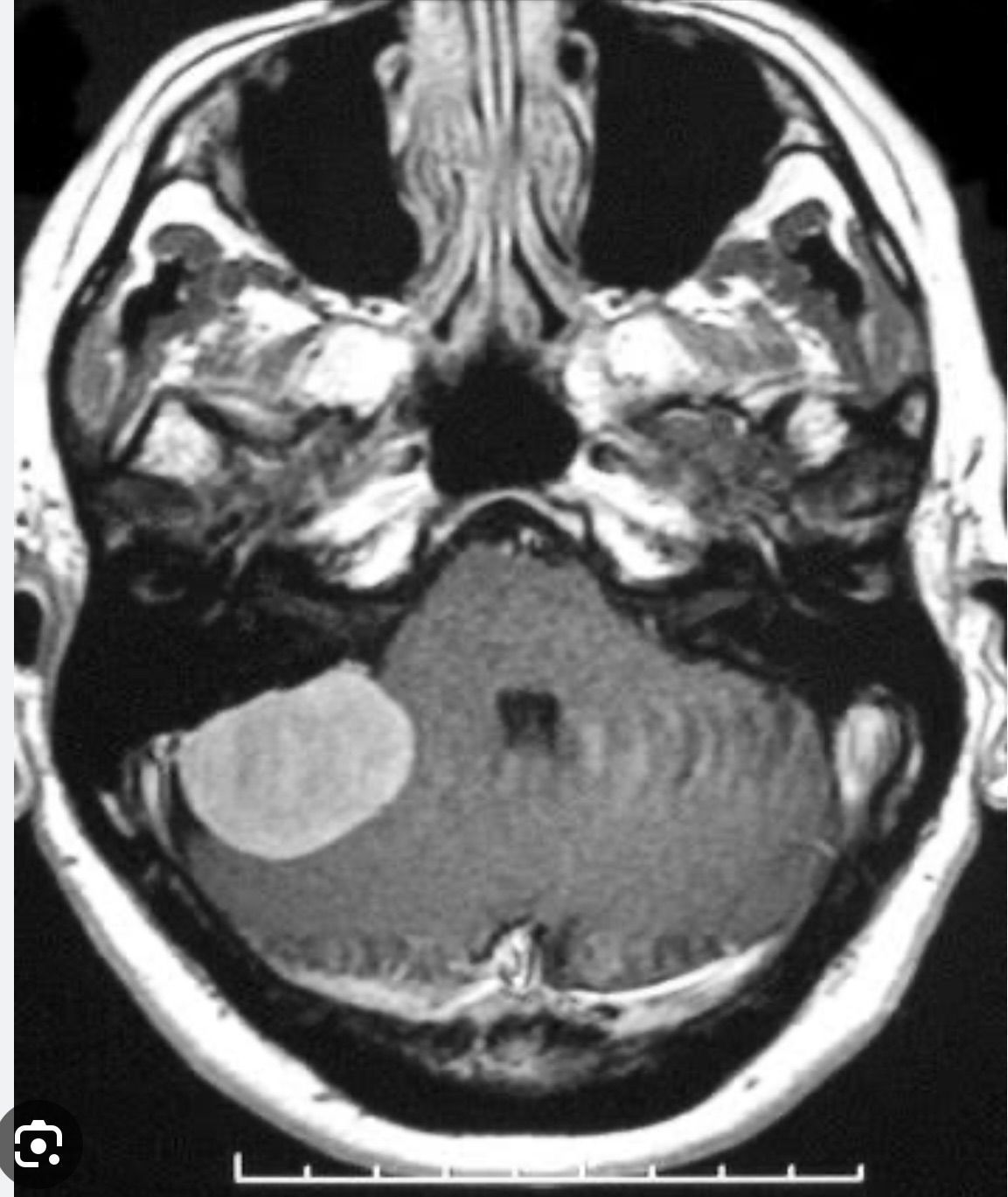
Cerebellopontine angle tumors (CPAs) occur between the lower part of the brain and the brain stem. Most CPAs are benign, but can cause nerve damage or compress the brain stem if not treated. About 90 percent of the time, the first symptom is hearing loss in one ear, accompanied by tinnitus, ringing in the ears. Others symptoms include speech impediment, disequilibrium, tremors, and loss of muscle control.