
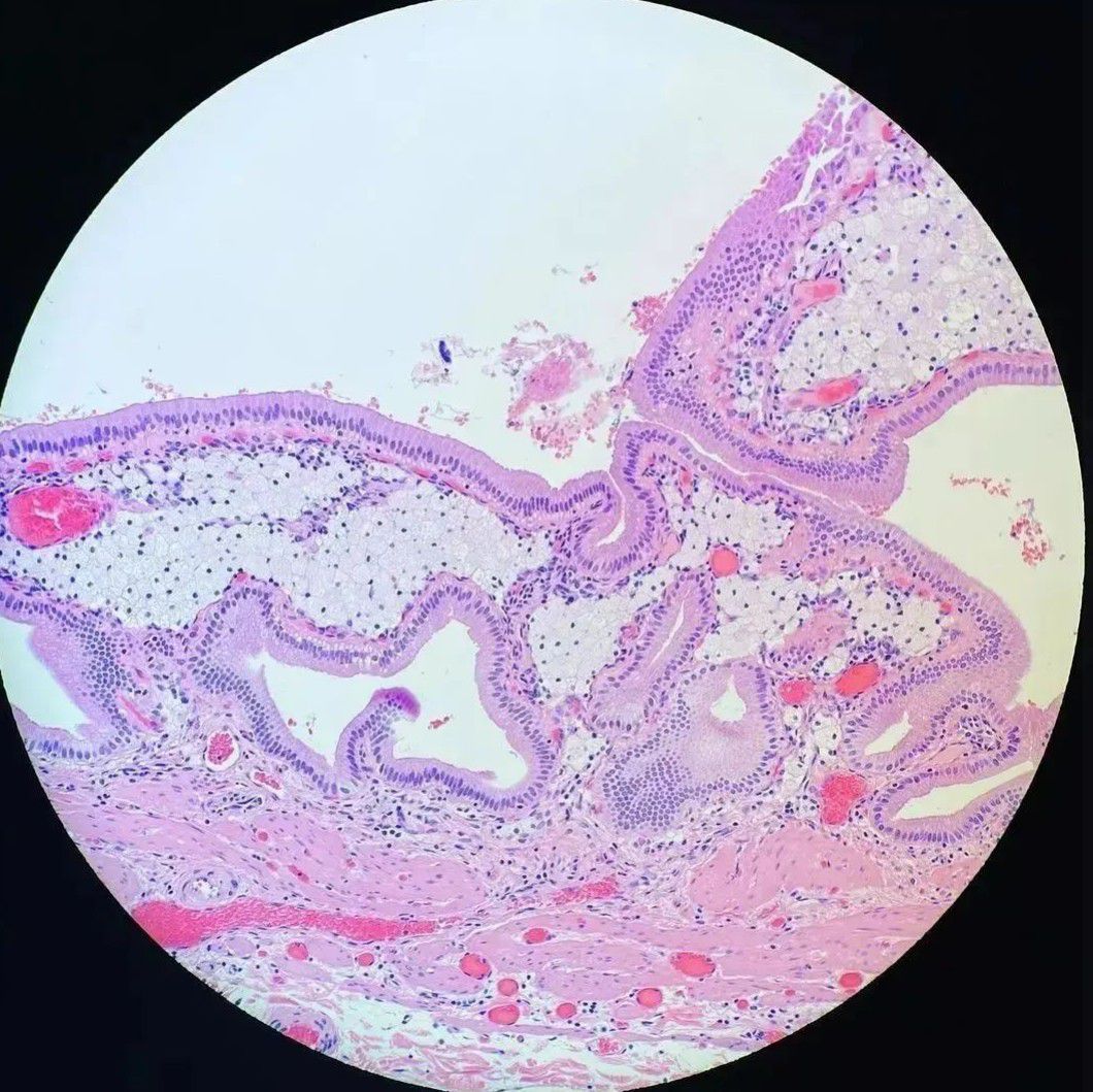
Hint: 🍓 This is cholesterolosis of the gallbladder. Cholesterol is deposited/eaten up by macrophages in the lamina propria. It is a common benign finding. Grossly these will stand out as yellow spots on the darker uninvolved mucosa, giving it a strawberry appearance. . .