
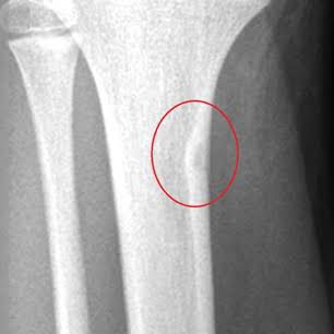
An osteoid osteoma is a noncancerous (benign) bone tumor. Each tumor usually measures less than 1 inch across. These tumors don’t grow or spread anywhere else in your body. Osteoid osteomas most often develop in the long bones of your body. These long bones include your shin (tibia) and thigh (femur) bones. Osteoid osteomas may also form in your: Arms. Hands or fingers. Feet or ankles. Spine. This condition usually causes aching, dull pain that worsens at night. Healthcare providers treat osteoid osteomas with non-steroidal inflammatory drugs (NSAIDs) or surgery.