MEDizzy
MEDizzy
Sadia
Sadiaalmost 3 years ago
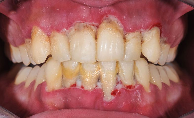
Symptoms of White gums

Symptoms of White gums

People with gingivitis may experience irritated, red, and swollen gums around the base of their teeth. They may also notice loose teeth or bleeding when brushing and flossing. Over time, the condition can cause the gums to turn white and recede

0
Other commentsSign in to post comments. You don't have an account? Sign up now!

Recent MCQs















Show more MCQs

Recent flashcard sets















Show more flashcards