MEDizzy
MEDizzy
Noor Ul Ain
Noor Ul Ain about 7 years ago
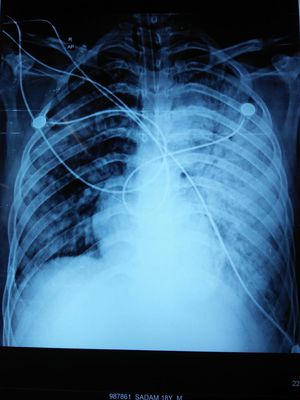
Xray of post op neurosurgery patient spo2 decreasing .pt is having brain edema and is on vent .

Xray of post op neurosurgery patient spo2 decreasing .pt is having brain edema and is on vent .

3
Top rated comment
about 7 years ago

VAP or pulmonary edema maybe. increase dosage of diuretic. Aspiration intratracheal secretion and sending smear and culture recommended.

Other commentsSign in to post comments. You don't have an account? Sign up now!

Recent MCQs















Show more MCQs

Recent flashcard sets















Show more flashcards