
Where is it located and How would you remove it?
Intracranial hemorrhage management: Perform endotracheal intubation for patients with decreased level of consciousness and poor airway protection. Cautiously lower blood pressure to a mean arterial pressure (MAP) less than 130 mm Hg, but avoid excessive hypotension. Early treatment in patients presenting with spontaneous intracerebral hemorrhage is important as it may decrease hematoma enlargement and lead to better neurologic outcome. Rapidly stabilize vital signs, and simultaneously acquire emergent CT scan. Intubate and hyperventilate if intracranial pressure is increased; initiate administration of mannitol for further control. Maintain euvolemia, using normotonic rather than hypotonic fluids, to maintain brain perfusion without exacerbating brain edema. Avoid hyperthermia. Correct any identifiable coagulopathy with fresh frozen plasma, vitamin K, protamine, or platelet transfusions. Initiate fosphenytoin or other anticonvulsant definitely for seizure activity or lobar hemorrhage, and optionally in other patients.Levetiracetam has shown efficacy in children for prophylaxis of early posthemorrhagic seizures. Additional data suggest that levetiracetam is more effective than phenytoin for seizure prophylaxis without suppression of cognitive abilities in patients with ICH. [14] Facilitate transfer to the operating room or ICU. While reducing SBP with intravenous nicardipine hydrochloride does not significantly reduce hematoma expansion in patients with ICH, the Antihypertensive Treatment of Acute Cerebral Hemorrhage study supports further studies to evaluate the efficacy of aggressive pharmacologic SBP reduction
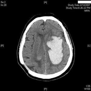
Left intraventricular hemorrhage and cerebral hematoma.
Management of IVH is primarily directed at controlling intracranial pressure through an external ventricular drain (EVD), but this catheter often becomes occluded by coagulated blood. The fibrinolytic system of the cerebrospinal fluid is limited, and blood may remain in the ventricles for months after a hemorrhage. IVH has a poor prognosis, partly because of the continuing mass effect of blood clots on the ventricular walls. Therefore, investigators have administered fibrinolytic agents directly into the ventricles of patients with IVH. Clinical studies of fibrinolytic therapy for IVH have found a 30 to 35% reduction in mortality with treatment, but have not yet clearly documented an improved neurologic outcome for the survivors.