Feed
Library
Learning
Discuss
Leaderboard
Journal
Sign in
Login
Sign up
Sign in
Feed
Library
Learning
Discuss
Leaderboard
Journal
Dr. Fatemeh Kourkinejad
about 7 years ago
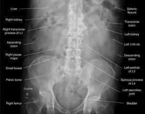
KUB X-ray
Kidney Urethra Bladder Radiography
Learning Materials
Xray
Kidneys
Radiography
9
2
9
Top rated comment
Homayoon
about 7 years ago
Tnx for sharing
0
Reply
Dr. Fatemeh Kourkinejad
about 7 years ago
You're welcome.
0
Other comments
Sign in
to post comments. You don't have an account?
Sign up now!
Related posts
Drug Safety Alerts- Other
Urinary Tract Infection
Serotonin Syndrome
Medicines for Weightless II
Calcium Channel Blockers- Mnemonics
Glasgow Coma Scale- An Example
Classification of Periodontal Pocket
Chest X-Rays
Bird Beak Sign
Antibiotics for Renal Dysfunction
Recent MCQs
Show more MCQs
Recent flashcard sets
Show more flashcards
Feed
Learn
Add
Search
Discuss