
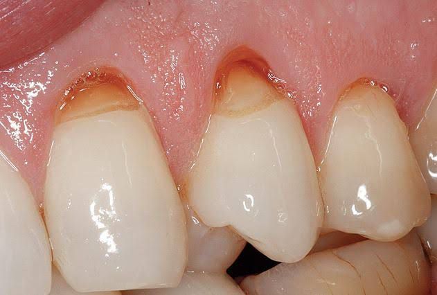
What Is Dental Abrasion? Dental abrasion occurs when your tooth's surface has suffered an abnormal amount of wearing down from some external force and begins to lose enamel. It typically shows up as a v-shaped nick present on the bottom of your tooth, over time.